Are You Looking To Replace Missing Teeth, Eat Food With Ease & Finally Be Confident In Your Smile Again?

Welcome to our practice, led by Dr. Jose J. Alvarez, DMD, a Board Certified Dental Implant Diplomate and University of Pennsylvania graduate. Patients from around the globe, including medical professionals and dentists from the USA, trust Dr. Alvarez for transformative implant treatments that enhance confidence and restore comfort in eating.

Joining him are Dr. Elizabeth Gonzalez, DDS from West Virginia University and Dr. Gianny Montenegro, DDS an NYU graduate. Together, they leverage advanced 3D technology in our state-of-the-art facility, ensuring your dental implants are precise and built to last a lifetime. Discover how we can elevate your dental experience today!

We Have 300++ Five Star Reviews
⭐⭐⭐⭐⭐

Get A Free Consultation & 3D CBCT Scan With One Of Our Dentists

Request a free consultation, exam, & 3D CBCT scan with one of our dentists. Don't overpay for your dental implant treatment. Fill out the form below and save thousands on your treatment.

🔒 100% Secure & Private
Your Information Is Safe With Us

Watch Our Patient Testimonials

Special financing and low monthly payments are available.

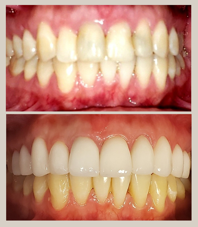
Before & After Gallery

We've transformed thousands of patients' lives with dental implants.
Just take a look at some of our breathtaking case studies.

Special financing and low monthly payments are available.

TYPES OF DENTAL IMPLANTS & PRICING

You Have Several Options When it Comes to Implants

To give you a beautiful and functional smile, Dr José Alvarez of Miami utilizes the latest dental implant procedures and technology.

Missing Just One Tooth?

Single Implants Costs $4,450 Per Tooth

A Single Dental Implant Crown is Your Best Option, It Will:

Missing A Row of Teeth & Have A Tighter Budget?

All-On-4 Implants Costs $14,899 Per Arch

4 Implants and Full Implant Supported Denture is Your Best Option For Tight Budgets:

Best Option For A Full Row Of Missing Teeth?

Fixed All-On-6 Starting At $28,890 Per Arch

A Full, Fixed Arch Implant (All-On-6) is Your Best Option For The Long Term:

Dr. Jose J. Alvarez, DMD Can Give You A Beautiful New Smile Again

Dr. Jose J. Alvarez, DMD has a passion for keeping up-to-date with the latest and most advanced dental techniques. He always makes sure that he provides excellent care to every patient. He offers the following implant treatments:

When you work with our team, you can be rest assured that you'll be taken care of throughout the entire process. Everything will be handled under one roof, making your visits convenient and your treatment exceptional.

PHOTO-2024-06-01-12-58-30

Why Choose Dental Implants?

Dental implants are the most advanced solution for replacing missing teeth, offering a wide range of benefits that go beyond mere aesthetics:

Choosing dental implants means choosing a solution that improves your quality of life, restores your self-esteem, and supports your overall oral health.

At Dr. Jose J. Alvarez & Associates, we are dedicated to transforming lives through perfect and functional smiles. With over 30 years of experience and thousands of successful cases, we guarantee the highest quality dental implant treatment. Our commitment to excellence and personalized care ensures that every patient receives a smile that is not only beautiful but also built to last. Let us help you rediscover your confidence and enjoy a life full of bright, healthy smiles.

Special financing and low monthly payments are available.

Our Comprehensive Treatment Process

At Dr. Jose J. Alvarez & Associates, we follow a meticulous and personalized process to ensure the success of your dental implant treatment. Our step-by-step approach guarantees optimal results and patient satisfaction:

Special financing and low monthly payments are available.

What Our Patients Say

We have hundreds of positive reviews from happy patients.

Ready to Smile with Confidence Again?

Due to high demand, we request a $150 reservation fee for your appointment, ensuring that your time—and our expertise—is valued. This fee will be applied to your treatment or fully reimbursed at the end of your consultation.

Frequently Asked Questions

What is a dental implant?

A dental implant is a titanium post that is surgically placed into the jawbone to serve as a stable foundation for a replacement tooth or bridge.

Who is a good candidate for dental implants?

Candidates for dental implants are typically individuals with good general and oral health, sufficient jawbone density, and a commitment to maintaining oral hygiene. During your consultation, we will assess your suitability for implants.

Is the dental implant procedure painful?

The procedure is performed under local anesthesia, ensuring minimal discomfort during surgery. Post-operative pain is usually mild and can be managed with over-the-counter pain medications. Our team will provide comprehensive care instructions to facilitate a smooth recovery.

How long does the dental implant process take?

The complete process can take several months, as it involves the initial consultation, implant placement, healing period, and final placement of the dental crown. The exact timeline varies based on individual cases and specific treatment needs.

How much do dental implants cost?

The cost of dental implants varies depending on factors such as the number of implants needed, the complexity of the case, and any additional treatments required (e.g., bone grafting). We offer free consultations to discuss your treatment options and provide a detailed cost estimate.

Visit Us in North Miami Beach

Conveniently located at 3483 NE 163RD ST, North Miami Beach, FL 33160. We welcome emergencies and are committed to providing prompt and effective care.

Follow us on social media for more information and updates.

Scroll to Top